Vietnam News

Friday, February 21, 2025, 08:50 GMT+7

Northern Vietnamese hospital treats 17-year-old with cerebral infarction

The teenage patient was otherwise healthy with no underlying medical conditions aside from obesity

Northern Vietnamese hospital treats 17-year-old with cerebral infarction

The department of neuromusculoskeletal medicine at Vietnam-Sweden Uong Bi Hospital in Quang Ninh Province, northern Vietnam recently treated a 17-year-old with cerebral infarction.

The patient was admitted to the hospital with a headache, dizziness, and weakness on the left side of his body.

According to his family, the teenager was otherwise healthy, with no underlying medical conditions aside from obesity.

A few days before admission, the patient began complaining of a headache and dizziness, but over-the-counter medication provided no relief.

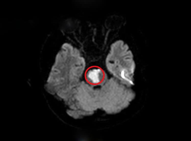
After taking the medical history, doctors suspected a stroke and ordered a brain MRI. 

The results revealed a cerebellar and pontine infarction caused by a blockage in the basilar artery.

Blood tests showed dyslipidemia, a known risk factor for cardiovascular and cerebrovascular issues. 

Further genetic testing revealed abnormalities that increased the patient’s risk of thromboembolism.

The hospital team noted the patient’s young age and the combination of cerebellum and pons pathology along with lipid disorders, which contributed to a severe condition. 

Emergency measures were promptly taken, with consultation from the stroke center at Bach Mai Hospital in Hanoi to determine the best treatment approach.

After an extended treatment and recovery process, the patient gradually stabilized and regained basic motor functions. 

His health has been closely monitored, and rehabilitation exercises have been implemented to restore mobility.

Doctors emphasized the importance of health monitoring and cautioned against self-treatment, which can worsen conditions. 

They advised maintaining a balanced diet, limiting cholesterol-rich foods, exercising regularly, and managing weight. 

For those with a family history of cardiovascular disease or risk factors like high blood pressure or diabetes, regular health check-ups are especially crucial.

Like us on Facebook or follow us on X to get the latest news about Vietnam!

Bao Anh - Hong Ha / Tuoi Tre News

Comment (0)
thông tin tài khoản
(Tuoitre News gives priority to approving comments from registered members.)
Most Popular Latest Give stars to members